45 Annotated X-Ray Cases.
Systematic Reporting.
Every case includes a structured reporting framework, annotated findings, and pattern-based teaching. Build the systematic approach examiners expect — across chest, abdomen, and orthopaedic presentations.
3 Body Regions. 45 Cases.
Each region is structured around high-yield pattern recognition — the presentations that appear most frequently in clinical exams.
Chest
8 pattern guides
Abdomen
4 pattern guides
Orthopaedic
4 pattern guides
Try a Sample Case
Every case follows the same systematic approach — presentation, findings, diagnosis, reporting template.
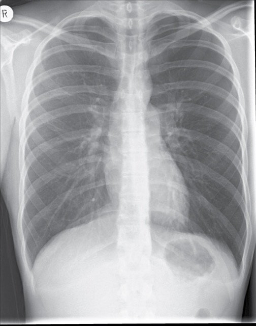
A 65-year-old smoker presents with acute dyspnoea. Chest X-ray shows a visible pleural line with absent lung markings laterally.
What is the diagnosis?
Bilateral pleural effusion — 72-year-old with cardiac failure
Right lower lobe consolidation — 58-year-old with productive cough
Widened mediastinum — 45-year-old with tearing chest pain
Build Your Radiological Eye
45 annotated X-ray cases across chest, abdomen, and orthopaedic regions — with structured reporting frameworks and pattern guides built for exams.
For educational purposes only. Not a substitute for professional clinical judgement.


